Pipeline

파이프라인

단백질 결합 엑소좀

비만 및 지방간 치료 소재 개발

백색 지방

백색 지방

황백색을 띄고 있는 지방 세포

쓰고 남은 열량을 체내에
지방으로 축적하는 저장고

→ 비만을 유발하는 지방

vs

갈색 지방

갈색 지방

황갈색을 띄고 있는 지방세포

미토콘드리아에 의한 열생성을 통해
지방을 소비 열을 발생하여 체지방 감소

→ 비만을 감소시키는 지방

백색 지방의 갈색 지방화

백색 지방의 갈색 지방화

백색 지방을 줄이고 갈색 지방으로 전환 또는 활성화로 비만 문제 해결 가능

엑소좀 + 단백질

단백질과 갈색지방화 엑소좀 결합

• 체지방 감소 시너지 효과 및 극대화
• 갈색지방유도 기능 및 에너지 소비 활성화 기능을 갖는 엑소좀

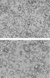
체지방 감소 엑소좀 지질 생성 억제 효과 테스트

체지방 감소 엑소좀( T-Exo) 처리 시 지방 감소 효과 확인

  • 1. 백색지방 세포 이미지
  • 2. 지질 감소 효과 (ORO Stain)
  • 3. 당 분해 및 에너지 소비 증진 효과